撰文:林芷瑩出版:2023-12-15 5.39.217.76 k0 W" y4 f( h$ K- O" _
# p z0 }& X% _: y
TVBNOW 含有熱門話題,最新最快電視,軟體,遊戲,電影,動漫及日常生活及興趣交流等資訊。( m/ y/ b6 u& N t3 ~( l0 ~; R

- }# x% B+ z8 q% q: I5.39.217.76
$ l4 V7 R# [8 d- t3 Z% A! Q) a8 N! C: A* G公仔箱論壇
1 c7 w' u9 y( @* M# j- J- @來自浙江寧波的小美(化名),日前參加親子拔河比賽時,為更好地發力,便將麻繩繞在右手手腕上,未料雙方發力後,她的手腕被麻繩絞住。她被送至寧波市第二醫院時,腕關節已完全骨折脫位,被診斷為腕部離斷傷。醫院立即為她做手術,成功保住右手。
' O0 R$ m1 j5 E O4 h) h: Ktvb now,tvbnow,bttvb
6 u; q) W7 S# R1 oTVBNOW 含有熱門話題,最新最快電視,軟體,遊戲,電影,動漫及日常生活及興趣交流等資訊。據介紹,小美抵達醫院後,急診醫生已判斷其血運不佳,經手顯微修復外科醫生會診後,判斷她的腕關節以及遠動靜脈血運可能都已離斷,需要立即行斷腕再植術。
5 ~- s; D0 K" j' E; P. {3 s5 K+ w: w5.39.217.76
& y: {/ u; c c2 M- ]公仔箱論壇寧波二院手顯微修復外科副主任郭宗慧介紹,小美入院時右手十分腫脹,手腕嚴重變形,被繩勒過的皮膚已壞死,手掌因缺血呈現青紫色。經檢查發現,小美的腕關節受暴力絞壓,兩條動脈血管已斷,並伴有長段血管損傷,靜脈血管出現長段栓塞,手腕關節已完全骨折脫位,有近1厘米寬的環形皮膚被擠壓壞死。
$ X/ H9 R7 u; d5.39.217.76
* G/ l% n0 r# A' d8 M2 ]
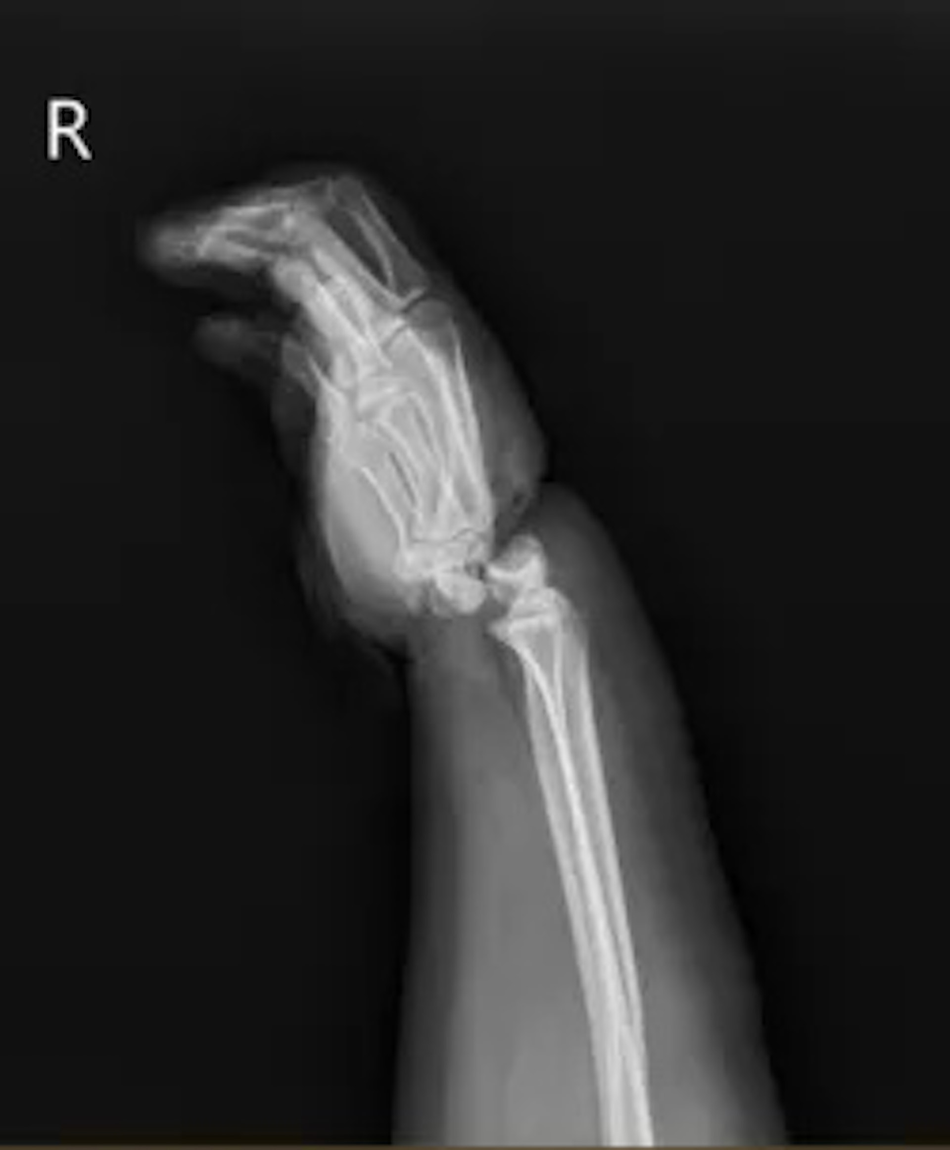
% u8 E6 j4 C, p! RX光片顥示,小美右手手腕嚴重變形。(澎湃新聞)公仔箱論壇$ S" {3 ~# i$ D8 E; }' a) |: j' W
% i: ~8 x9 s2 d# w5.39.217.76小美入院時距離受傷已過去3小時,手掌的毛細血管中已形成血栓,耽誤時間愈久,手掌因缺血而壞死的可能性愈大。為了保住小美的手掌,恢復手掌的血液流通,院方立即為她安排手術。公仔箱論壇0 S# ]/ w2 [5 ?
) R8 J6 _$ `/ s5 x: F, ]- q
手術中,醫生先用500毫升抗凝藥液為小美疏通手掌血管,再復位腕部斷裂和脫位的骨頭,然後接通8條血管,修復挫傷的神經,縫合斷裂的腕部肌腱,耗時4個多小時為小美「保住」右手,重建右手血運及功能。+ M/ }: x- d* e' C8 Z
7 [6 l. F9 h, \1 E9 b% j

! x0 G! h. K9 ~. I7 X! e; O8 @醫生為小美做手術「保住」右手。 (澎湃新聞)公仔箱論壇; L* x1 c0 ?( _, C
( ]! `" P5 y7 p+ @4 c! y8 g公仔箱論壇目前,小美已過危險期,後續只需拆除手部鋼針,繼續鍛煉手部功能,但其右手的精細運動還是會受到一定影響。
! p) R$ b# `, y! [- {5.39.217.76
. J8 i: M$ P6 N a* ]3 L( q3 UTVBNOW 含有熱門話題,最新最快電視,軟體,遊戲,電影,動漫及日常生活及興趣交流等資訊。郭宗慧提醒,拔河時不要將繩拴在手腕、手臂、腰等身體部分,「受力的繩子威力不亞於剪刀,絞傷甚至比銳器割傷更嚴重」。手部外傷在日常生活中比較常見,如受傷流血,可用乾淨的毛巾提前簡單包紮止血;骨折後可用硬木板或硬紙板臨時固定,防止進一步損傷;出現手外傷後要及時求診,早診斷早治療。 |